احساس لرزش یا حرکت در دندانهای دائمی میتواند بسیار نگرانکننده باشد. دندانهای بزرگسالان برخلاف دندانهای شیری، نباید حرکتی داشته باشند. اگر متوجه لق شدن دندان در بزرگسالان شدهاید، بدانید که...
گذراندن جلسه عصب کشی و پانسمان دندان میتواند نفس راحتی برای فرد باشد، اما این حس خوب گاهی با شروع درد کلافهکننده مختل میشود. اینجاست که سوال اصلی پیش میآید:...
اگر تا به حال برای درمانهای دندانپزشکی مانند ارتودنسی یا ساخت پروتز به دندانپزشک مراجعه کرده باشید، احتمالا تجربه قالبگیری از دندانها را دارید. آن ماده خمیری که در یک...
وقتی دندانپزشک از اصطلاح پالپکتومی استفاده میکند، ممکن است نگرانیهایی برای شما ایجاد شود، به خصوص اگر پای سلامت دندان کودکتان در میان باشد. اما این درمان دقیقا چیست و...
صدای مته دندانپزشکی و فکر کردن به تزریق آمپول بیحسی برای بسیاری از افراد یادآور تجربهای ناخوشایند است. این نگرانیها گاهی آنقدر جدی هستند که باعث میشوند افراد درمان مشکلات...
از دست دادن دندانها، تجربهای است که میتواند بر کیفیت زندگی، اعتماد به نفس و حتی نحوه صحبت کردن و غذا خوردن ما اثر بگذارد. بسیاری از افراد با دندانهای...
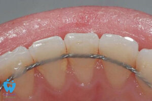
لق شدن دندان در بزرگسالی یا نگرانی از بازگشت دندانها به حالت قبل از ارتودنسی، میتواند بسیار دغدغهآفرین باشد. شاید دندانپزشک به شما استفاده از یک وسیله خاص را پیشنهاد...
تصمیم برای انجام ارتودنسی، یک قدم بزرگ برای رسیدن به لبخندی زیبا و سلامت دهان است. اما طبیعی است که قبل از شروع، نگرانیهایی درباره مشکلات ارتودنسی و سختیهای آن...
دوران بارداری با تمام شیرینیهایش، همیشه با سوالات و نگرانیهایی همراه است، به خصوص وقتی پای سلامت و درمانهای پزشکی به میان میآید. یکی از همین دغدغههای رایج، مربوط به...
هندپیس دندانپزشکی چیست و چرا این ابزار کوچک اما بسیار مهم، نقش بزرگی در درمانهای دندانپزشکی ایفا میکند؟در دنیای دندانپزشکی، ابزارهای دقیق و تخصصی مثل هندپیس، ستون اصلی انجام درمانهای...
ایمپلنت دندان یکی از گزینه کاربردی برای جایگزینی دندان ازدسترفته و شبیهترین گزینه درمانی به دندان طبیعی است. ایمپلنت دندان تمامی کارهای یک دندان طبیعی را انجام داده و مهمترین...
جراحی دهان یک روش معمول دندانپزشکی است که میتواند مشکلات مختلفی را برطرف کند، از کشیدن دندان عقل گرفته تا کاشت ایمپلنت دندانی. اگر برای جراحی دهان برنامهریزی کردهاید، دانستن...
شرط داشتن یک لبخند زیبا در گرو داشتن دندانهای سالم، ردیف و مرواریدی رنگ است؛ برای همین جرمگیری و سفید کردن دندانها اهمیت زیادی دارد. روشهای زیادی برای انجام این...
عصب کشی دندان که با نامهای درمان کانال ریشه یا درمان اندودانتیک نیز شناخته میشود، یک روش دندانپزشکی است که برای حذف پوسیدگی و بیرون کشیدن عصب از داخل دندان...
دندانپزشکی حوزهای در حال تحول و ترکیبی از هنر و فناوری است. با این توضیحات طبیعتاً ابزارهای زیادی در این حوزه وجود دارد که شاید بسیاری از ما درباره کارایی...
کامپوزیت دندان یکی از روشهای محبوب در دندانپزشکی زیبایی است که به بهبود ظاهر لبخند شما و زیبا جلوه دندانها تا حد زیادی کمک میکند. این پوستههای نازک و سفارشیسازیشده...
روکش دندان طلا در دندانپزشکی صدها سال است که مورد استفاده قرار میگیرند و روشی کاربردی برای ترمیم دندانهای آسیبدیده به شمار میرود. علاوه بر این موارد با اهداف زیبایی...
دندان درآوردن نوزاد یکی از مراحل مهم رشد است که معمولاً زمانبندی استانداردی دارد و در سنین خاصی رخ میدهد. بااینحال، برخی نوزادان زودتر از حد معمول دندان درمیآورند که...
عفونت یا آبسه دندان به دلایل مختلفی ایجاد میشود و میتواند اشکال گوناگونی داشته باشد. پیش از انجام درمانهایی مانند عصبکشی یا ترمیم ریشه دندان، لازم است که این عفونت...
براکت ارتودنسی یکی از رایجترین ابزارهای مورد استفاده در دندانپزشکی است که نقش مهمی در اصلاح ناهنجاریهای دندانی و مرتب کردن دندانها دارد. این قطعات کوچک اما کاربردی، بسته به...
بسیاری از افراد به مسواک زدن و نخ دندان کشیدن مرتب برای حفظ لبخندی زیبا و داشتن دندان سالم بسنده میکنند، اما به دهانشویه اهمیت چندانی نمیدهند. درصورتیکه طبق تحقیقات...
وقتی صحبت از ارتودنسی کردن دندان به میان میآید، شکستگی براکتها و سیمهای ارتودنسی یکی از نگرانی رایجی است که افراد را از امتحان کردن این روش برای مرتب کردن...
پوسیدگی دندان یکی از شایعترین مشکلات سلامت در جهان محسوب میشود که بیشتر در میان کودکان و نوجوانان دیده میشود. با این حال، این مشکل میتواند در هر سنی رخ...
جوش شیرین یک ماده خانگی با کاربردهای فراوان، از پختوپز گرفته تا تمیزکاری است، اما آیا میدانستید که سفید کردن دندان با جوش شیرین در خانه نیز امکانپذیر خواهد بود؟...